Московские врачи спасли 2-летнего мальчика, у которого из-за застрявшего в бронхах мяса началась пневмония
В Москве врачи детской больницы имени Башляевой помогли двухлетнему мальчику с пневмонией, которая началась из-за застрявшего в дыхательных путях кусочка куриного мяса. Об этом сообщает тг-канал депздрава столицы.
По словам врачей, ребенок поступил в инфекционное отделение клиники с жалобами на кашель, одышку, свистящее дыхание и с повышенной температурой. Мама мальчика рассказала, что во время семейного праздника, когда она готовила еду, сын подавился курицей, начал кашлять, но сразу откашлялся и поэтому опасений это у нее не вызвало, за помощью в тот день не обращалась.
На следующий день ребенок почувствовал себя плохо и стал капризным и плаксивым. Они пошли в поликлинику, где им назначили лечение сначала от ОРВИ и бронхита, а потом заподозрили пневмонию.

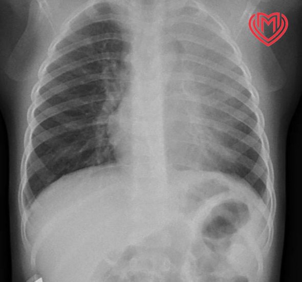
На четвертый день улучшений не наступило и ребенку вызвали скорую, которая доставила пациента в больницу имени Башляевой. Там врачи сделали рентген грудной клетки, которая показала левостороннюю пневмонию. Пациента госпитализировали в стационар. С учетом анамнеза и других данных врачи клиники заподозрили инородное тело в дыхательных путях, которое могло стать причиной пневмонии. После предоперационной подготовки мальчику провели эндоскопию.

По данным видеобронхоскопии в дистальном отделе левого главного бронха обнаружили инородное тело продолговатой формы размером 4×1 см, которое оказалось куском мяса. Его извлекли при помощи аспирационной тяги, бронхи обработали, и ребенок смог свободно дышать.
фото: t.me/bashlyaevoydgkbdzm

НОВОСТИ
Новосибирские врачи впервые в истории российской медицины извлекли из тела ребенка кардиостимулятор, провалившийся в кишечник

НОВОСТИ
Врачи спасли полуторагодовалого ребенка, проглотившего 130 магнитных шариков и литиевую батарейку

НОВОСТИ
В Подмосковье годовалый ребенок случайно вдохнул стик от айкоса, который застрял у него в бронхах















