Врачи РДКБ удалили 5-летней девочке опухоль в грудной клетке размером со страусиное яйцо
Хирурги РДКБ удалили пятилетней девочке опухоль размером со страусиное яйцо. Новообразование смещало аорту, сдавливало сердце и легкое и вовлекало жизненно важные сосуды. Об этом сообщается на странице клиники в ВК.
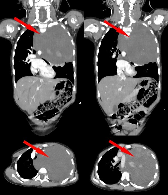
В приемное отделение ФГБУ «Российская детская клиническая больница» поступила пациентка с новообразованием в грудной клетке. Поводом для обращения к врачам стала обнаруженная родителями припухлость в области шеи.

КТ, проведенное в клинике по месту жительства, показало крупное образование, после чего девочку направили в РДКБ. Дополнительные обследования установилии, что через плотную ткань опухоли проходили позвоночная и подключичная артерии. Результаты биопсии показали, что опухоль размером 10×12 см занимает 75% плевральной полости, имеет доброкачественную природу, но смещает аорту и сдавливает сердце с легким.

Однако врачи все же решили удалить образование единым блоком, поскольку оно могло содержать злокачественные клетки. «Учитывая гигантский размер опухоли и ее расположение вблизи множества жизненно важных структур, мы использовали расширенный доступ по типу „раковины моллюска“. Он предполагает рассечение не только межреберного промежутка, но и самой грудины, что позволяет „раскрыть“ грудную клетку. Только так мы смогли получить полный визуальный и инструментальный контроль над аортой и всеми сосудами», — рассказал завотделением реконструктивной хирургии РДКБ Евгений Андреев.
После удаления опухоли врачи назначили финальную гистологии образования, которая показала, что это ганглионейробластома, в которой были найдены злокачественные клетки. После восстановления девочка пройдет курс химиотерапии.
фото: vk.com/rdkbofficial
















