В Подмосковье ребенок воткнул себе в стопу иглу, повторяя задание из «Игры в кальмара»
Врачи Детского клинического центра имени Рошаля вытащили из стопы школьника иглу, которая вошла в ногу во время выполнения задания, показанного в сериале «Игра в кальмара». Об этом сообщается на странице клиники в ВК.
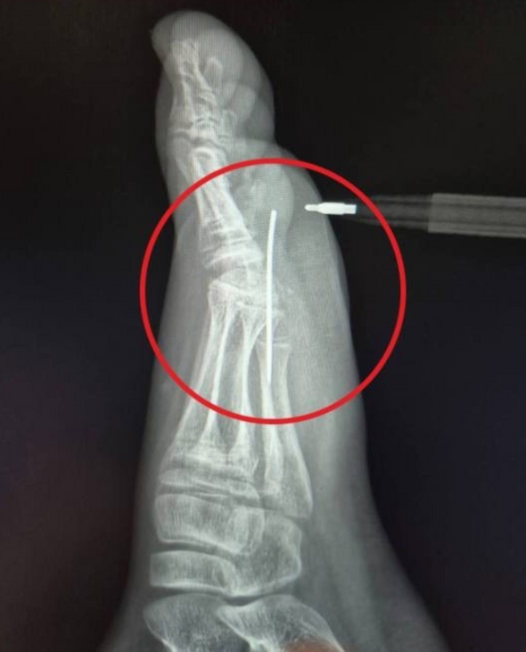
По словам врачей, десятилетний мальчик поступил в больницу с травмой стопы. Медикам он рассказал, что пытался иглой вырезать рисунки на печенье, как делали герои сериала «Игра в кальмара», но по неосторожности случайно наступил на иголку и проткнул себе ногу.

«Мы сделали рентген, который подтвердил наличие инородного тела в стопе, достали иголку специальным инструментом „Москит“. Процедура длилась не больше трех минут и прошла успешно», — рассказал заведующий травматологическим пунктом Артем Лисенков.

Мальчика выписали спустя несколько часов после процедуры.
Игра с вырезанием печенья — вторая игра в сериале «Игра в кальмара», показанная в серии «Человек с зонтиком»). В оригинале эта игра называется «далгона» — по названию корейской сладости. Участникам игры выдают круглую карамельную лепешку с впрессованной формой (звезда, круг, зонт, треугольник и так далее). Задача игрока — аккуратно вырезать эту фигуру иголкой, не сломав ее. Если участник случайно отколол кусок от формы — он выбывает.
кадр: сериал «Игра в кальмара»

ХОББИ
Из «Игры в кальмара» и не только: 7 традиционных корейских игр, которые точно понравятся детям

ТРЕНДЫ
Визитки с символами из «Игры в кальмара»: кто раздает их школьникам и что всё это значит

НОВОСТИ
Брянский депутат призвал приравнять к экстремизму покупку детям костюмов и мерча по мотивам сериала «Игра в кальмара»















